За мен

Завърших Факултета по дентална медицина към Медицински университет София през 2013 година.
След завършването си започнах работа в практиката на доц. Кирилова, където успях да придобия множество знания и критично мислене към работата ми и комуникацията с пациентите.
В продължение на 6 години работя паралелно в две практики.
Посещавам множество Курсове за следдипломна квалификация,благодарение на които се стремя да бъда в крак с последните тенденции в денталната медицина и да предложа най-добрите методи и алтернативи на лечение на моите пациенти.
Работя изключително с материали на най-добрите стоматологични брандове като Dentsply, GC , Kerr , 3M ,Voco.По-този начин пациентите ми получават едно наистина качествено и дълготрайно лечение.



За контакт:
Телефон: 0887536684
E-mail: drkrnaydenov@gmail.com
София,
жк.Люлин , ул. Арх. Георги Ненов 25
Услуги
Посещението при стоматолога е добре да започне от най-ранна детска възраст
Кой не желае бели зъби?Избелването е най-популярната и неинвазивна козметична процедура в денталната медицина.
Лазерната терапия с диоден лазер е един от най-съвременните методи за нехирургично лечение на заболяванията на венците и пародонта
Зъбният кариес е едно от най-честите заболявания на твърдите зъбни тъкани,но благодарение на развитието на технологиите и стоматологията,лечението му може да бъде безболезнено и минимално инвазивно
Оцветен или завъртян зъб?Несъразмерни или разноцветни предни зъби?
С минимално изпиляване може да постигнете усмивката,която винаги сте желали!
Коронката е метод за възстановяването на зъб,който е силно разрушен,девитализиран или счупен в резултат на травма.
Кореновото лечение е рутинна,същевременно много сложна и отговорна задача,целяща запазването на зъб,който в противен случен може да бъде наложено да бъде изваден.
С напредъка на стоматологията все повече зъби се лекуват успешно,но все пак,понякога това не е възможно и зъбът е необходимо да бъде изваден.
Клинични случаи

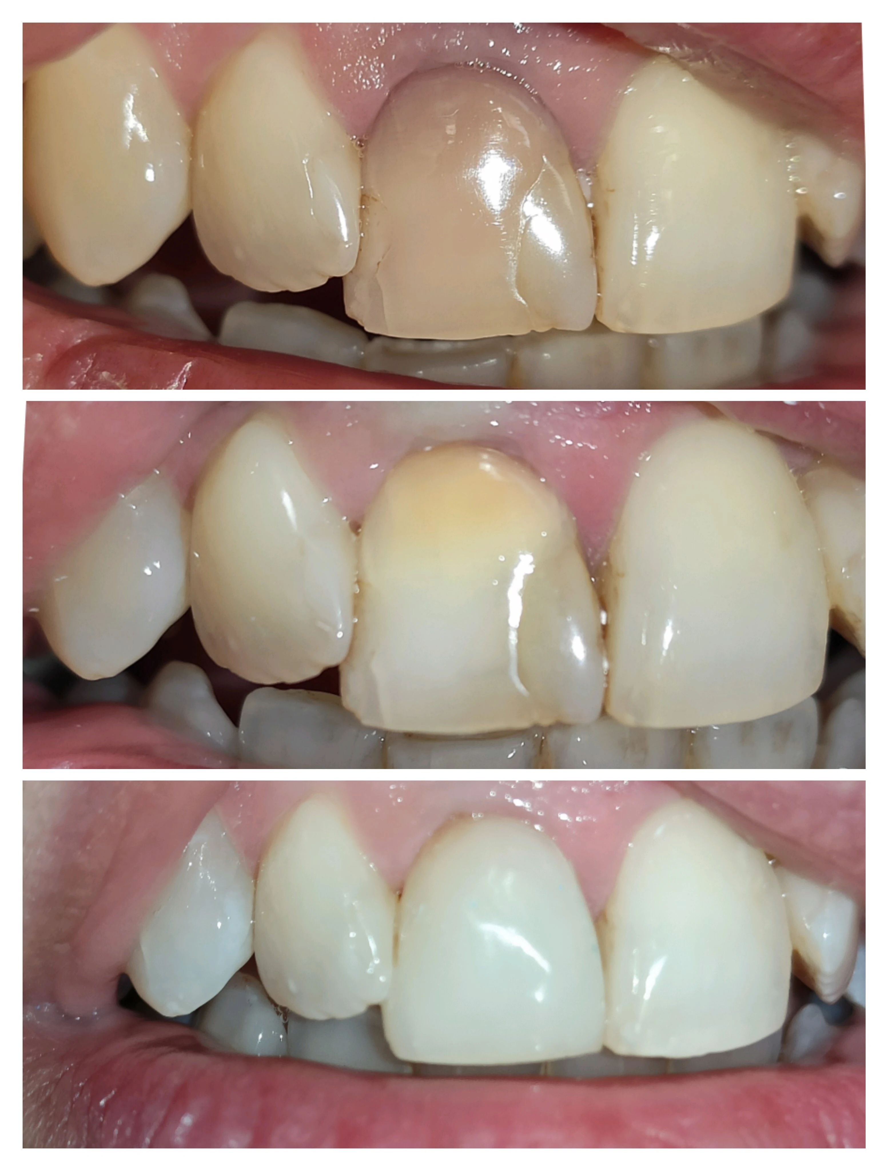
Избелване + Бондинг

Циркониев Мост

Избелване с Opalescence boost

Избелване с Opalescence boost

Директни Композитни Фасети - Бондинг

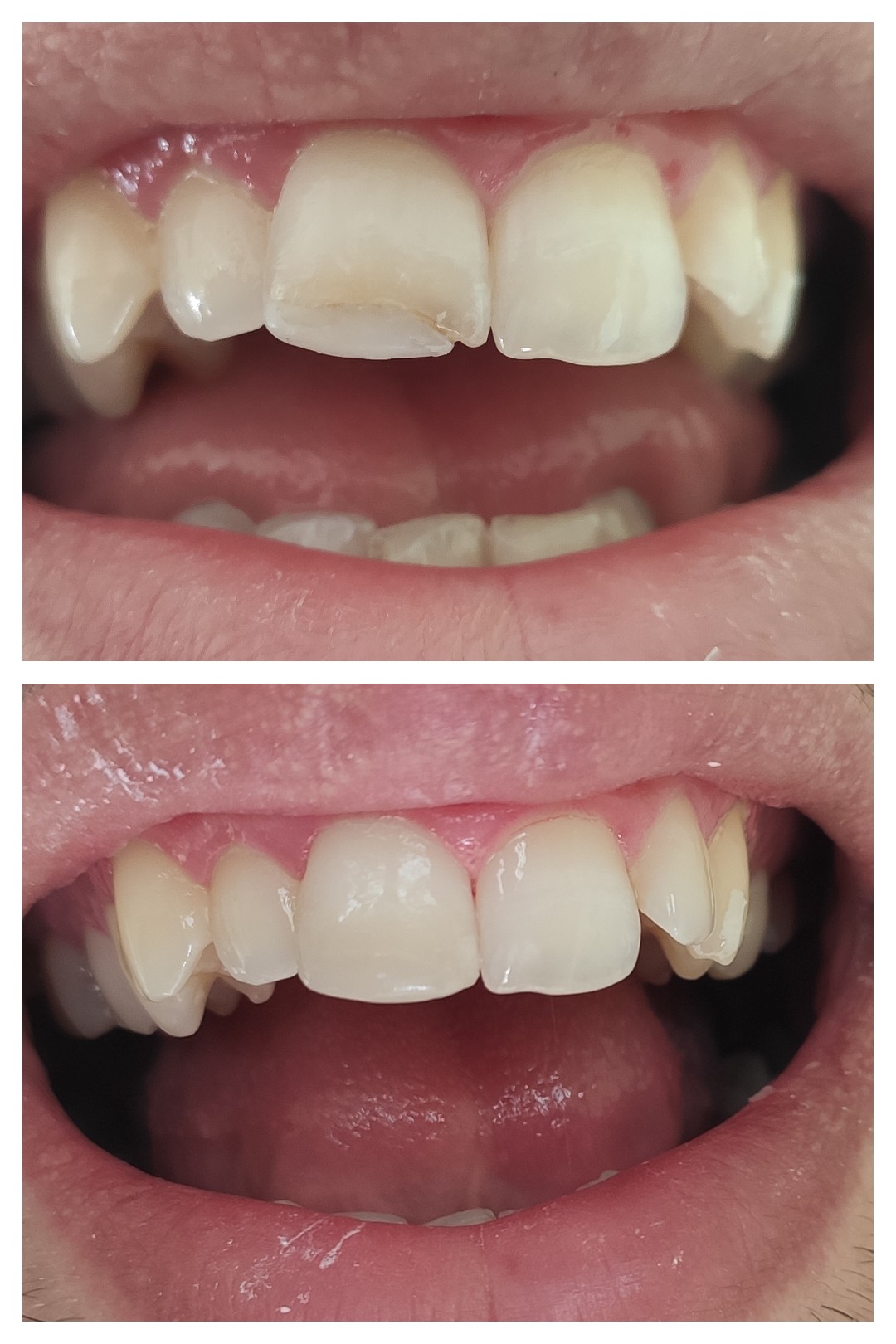
Бондинг

E-max Овърлей


Full Contour Циркониева Корона

Пародонтално шиниране



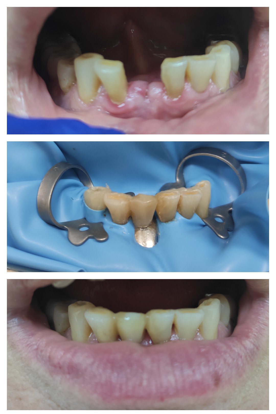
Адхезивен мост






Тотални протези

За контакт


гр.София, жк. Люлин, ул. Арх. Георги Ненов 25

drkrnaydenov@gmail.com
